Sitaram Bhartia Institute of Science & Research
B-16, Qutab Institutional Area, New Delhi, 110016
+91-9811109833, 9810446857
Complicated Knee Fractures
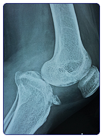
The knee is a commonly injured joint. One or more bones around the knee may be fractured, often in multiple pieces. Common mechanism of knee fractures is fall from a scooter. The fracture is more serious if broken bone involves the joint. Such fractures, if not treated properly, lead to deformed and stiff knee.
Essentially, most fractures around the knee are to be meticulously fixed by surgery so that the knee can be moved as early as possible. Accurate repositioning of the fracture fragments and stable fixation of these fragments is key to achieving good results. Experience, facilities in the OT and availability of variety of implants is critical to doing these operations well.
We have expertise of treating these knee fractures - fresh or old. Often these fractures need to be opened by more than one cut. Sometimes fractures have to be approached from back of the knee – something not comfortable for surgeon with less experience as there are important nerves and blood vessels at the back of the knee, supplying to the leg.
Some examples of these fractures treated by us are as below:
Case 1: This 30 year old lady was referred to us from Bihar (700 Km away). She sustained a complex fracture of knee – fracture of upper tibia with dislocation of the knee. The seriousness of the injury could not be comprehended by the first treating surgeon, and she was treated in plaster cast. After removal of the plaster, she realized that she could not walk. X-ray showed that her knee was subluxated. This happened because the injury was a combination of fracture plus ligament injury.
We took her up for surgery which involved 4 hours of operation. She had to be opened up from back of the knee and also from front. Ultimately the knee was put in proper shape. It took her 6 months to get back on her feet. Today she walks like a normal person.
Surgical Video
This is a rather uncommon complex knee injury. We have recently reported this injury in Journal of Indian Orthopaedic Association.
Case 2: This young man sustained a fracture of upper part of leg bone in a traffic accident. The fracture was in multiple places. There was also a big wound on the front of the knee. There was underlying rupture of one of the important tendons of the knee - the patellar tendon. The wound was badly soiled with roadside dirt.
The complexity of this case was that it had all the chances of possible complications such as infection, loss of knee strength due to injured main knee tendon, deformity and non union of the fracture itself, and finally, stiffness of the knee. On top of all this he happens to be an active young person. Such cases need carefully planned approach with multiple operations and involvement of the plastic surgery team. After 5 operations over a period of 6 months, this young man could finally walk on his legs with only a little limp.

Complex fracture just below the knee with big wound
After fixation, and skin healing

