Sitaram Bhartia Institute of Science & Research
B-16, Qutab Institutional Area, New Delhi, 110016
+91-9811109833, 9810446857
Shoulder Fractures
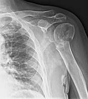
Fracture of upper humerus: Commonest shoulder fracture is that of upper end of the arm (humerus). Upper end, which is like a ball, articulates with the cup on the shoulder girdle bone (the scapula). Treatment of the fractures of the upper end of humerus depends upon a lot of factors.
Broadly speaking, these fractures occur either in younger people (around 40 years of age) or in the elderly (around 65 years of age). Treatment in elderly people is often on non-operative lines, considering that their requirements are met even if the bones heal in some degree of mal-alignment. Treatment in the young, on the other hand, needs more precise correction of fracture, and hence is done more often operatively. Treatment can be divided into the following groups:

- Children less than 16 years: The treatment is nearly always non-operative as there is a lot of potential of re-modelling at this age. If severely displaced, reduction of the fracture by fixation with steel pins may be required.
- Patient in the age group of 16 to 60 years: These constitute active population, and it is important to give them back, as near normal a shoulder as possible. For this, open reduction and internal fixation with plate and screws or a rod, is required.
- Young cosmetically conscious patients: These can also be treated by percutaneous reduction and Pinning. In this a ‘no-cutting’ technique. The patient is taken under anaesthesia, the bones are set in place without opening, just with traction. While this is being done, the position is being monitored by video x-ray vision (image intensifier machine) in the OT. Once a satisfactory position is achieved, a set of 2 mm steel pins are introduced through the skin all the way across the fracture to keep the fracture in reduced position. Advantage is that there is no scar.
- Elderly people (>60 years): These are treated sometimes without surgery and sometimes with surgery, depending upon the position of the fractures. Same policy is followed that though absolute accuracy is not required considering the life requirements, but treatment must result in a functional shoulder. Treatment methods may consist of percutaneous fixation - plating or nailing.
- Elderly beyond 75: There is a controversy in treatment of patients at this age. General tendency is to accept whatever ‘acceptable position’ of the fracture, which is so in most cases. There is another extreme of fractures at this age, where bone is crumpled into multiple pieces, and it’s no longer possible to put the pieces back. In such cases, shoulder replacement is required. Generally, replacement of only the broken ball (called partial replacement) is sufficient. In some cases, a more complex shoulder replacement, what is called reverse shoulder replacement is required.
We have an expertise in re-doing old operated fractures, and those which have not been treated properly, in the first place. The following are some of the examples:

